How Do You Know If You Have Throat Cancer From Hpv : World First Saliva Test Detects Hidden Throat Cancer Clinical Knowledge Network / Cancer usually develops several years after hpv exposure, and may be concurrently linked to alcohol and tobacco usage.
Dapatkan link
Facebook
X
Pinterest
Email
Aplikasi Lainnya
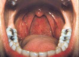
How Do You Know If You Have Throat Cancer From Hpv : World First Saliva Test Detects Hidden Throat Cancer Clinical Knowledge Network / Cancer usually develops several years after hpv exposure, and may be concurrently linked to alcohol and tobacco usage.. Cancers in the region of the head and neck that we call the oropharynx, which includes the tonsils and the base of the tongue so the part of the tongue that's behind what you can actually see in your mouth. Hpv causes head and neck cancers too. It can also cause cancer in the back of the throat, including the base of the tongue and tonsils (called oropharyngeal cancer). The virus doesn't cause symptoms, and most of the time, your immune system clears the infection from your body within 2 years. Personally, i'm excited to know that there is a vaccine that can prevent my type of throat cancer.
These cells can develop from oral hpv. If you have either of these hpv types, make sure you receive diagnostic testing with a colposcopy. Symptoms of oral and throat cancers (from any cause) include a swelling or lump in the mouth, a painless lump on the outside of the neck, an enlarged tonsil, and a sensation of having a foreign. Hpv is not transmitted by casual contact. If you don't know the.
Oropharyngeal Cancer What Is It Symptoms Stages Prognosis from www.clevelandclinic.org Hello everyone, my name is sam, 24. Experts are using the word epidemic to describe it. Your doctor might notice signs of throat cancer or oral hpv during a routine exam. These cells can develop from oral hpv. Hpv is not transmitted by casual contact. Prendes says, because they're difficult to recognize and categorize. Partners of someone with hpv related mouth/throat cancer do not have an increased rate of oral hpv infection. If any of the symptoms lasts beyond two weeks, see your doctor or an ear, nose and throat specialist.
There are five stages of throat cancer, starting at zero and going up to four.
Most people with hpv don't have any symptoms and their immune system will get rid of the hpv infection without any treatment. Symptoms of oral and throat cancers (from any cause) include a swelling or lump in the mouth, a painless lump on the outside of the neck, an enlarged tonsil, and a sensation of having a foreign. It can also cause cancer in the back of the throat, including the base of the tongue and tonsils (called oropharyngeal cancer). Having a weakened immune system. If you have oropharyngeal cancer, cancer cells form in the middle of the throat, including the tongue, tonsils, and pharynx walls. Hello everyone, my name is sam, 24. I admit i believe everything i see from dr google, bad habits i know. But in some cases, after many years,. Hpv can cause cervical and other cancers including cancer of the vulva, vagina, penis, or anus. Partners of someone with hpv related mouth/throat cancer do not have an increased rate of oral hpv infection. Hpv infection very rarely leads to a cancer. The sample is sent to a laboratory for testing. There's no standard screening test to find these cancers early.
Having a weakened immune system. The rate of cancers in the back of the throat is skyrocketing, trimble says. For the past 3 weeks i have had a feeling that something is stuck in the back of my throat. If you have either of these hpv types, make sure you receive diagnostic testing with a colposcopy. This week i have started getting more symptoms that are pointing the finger to throat cancer.
Can Sex Cause Cancer The Answer Is Yes Halza from www.halza.com Hpv is thought to cause 70% of oropharyngeal cancers in the united states. Therefore, if you notice any changes in your health, you should consult with an experienced physician right away. Hpv infection is common in adults. You can reduce your risk of hpv by limiting your number of sexual partners and using a condom every time you have sex. But in some cases, after many years,. So hpv is human papilloma virus and it actually causes a very specific subset of head to neck cancers. Infections with hpv are common. The tissue sample may also be tested for hpv, since the presence of this virus impacts the treatment options for certain types of throat cancer.
Experts are using the word epidemic to describe it.
Quitting smoking can help your body to fight hpv. But, it can sometimes be difficult to know whether you have it. Hpv causes head and neck cancers too. Symptoms of oral and throat cancers (from any cause) include a swelling or lump in the mouth, a painless lump on the outside of the neck, an enlarged tonsil, and a sensation of having a foreign. Some throat cancers are thought to be caused by the sexually transmitted infection human papillomavirus (hpv). In fact, the number of people diagnosed with. Having a weakened immune system. Therefore, if you notice any changes in your health, you should consult with an experienced physician right away. Hpv can infect the mouth and throat and cause cancers of the oropharynx (back of the throat, including the base of the tongue and tonsils). The tissue sample may also be tested for hpv, since the presence of this virus impacts the treatment options for certain types of throat cancer. Most people clear hpv within one to two years, but hpv infection persists in some people. You can reduce your risk of hpv by limiting your number of sexual partners and using a condom every time you have sex. (they are represented by the roman numerals i, ii, iii, and iv.) these are the basic stages of throat cancer:
This week i have started getting more symptoms that are pointing the finger to throat cancer. In the lab, specially trained doctors (pathologists) will look for signs of cancer. You may never know you have hpv. Early detection often prevents cervical cancer. Hpv infection is common in adults.
Cervical Cancer Rates Are Down But Hpv Related Throat Cancer Is On The Rise Health Com from imagesvc.meredithcorp.io Quitting smoking can help your body to fight hpv. But, it can sometimes be difficult to know whether you have it. Experts are using the word epidemic to describe it. Hpv can infect the mouth and throat and cause cancers of the oropharynx (back of the throat, including the base of the tongue and tonsils). Personally, i'm excited to know that there is a vaccine that can prevent my type of throat cancer. Hpv is not transmitted by casual contact. Cancers in the region of the head and neck that we call the oropharynx, which includes the tonsils and the base of the tongue so the part of the tongue that's behind what you can actually see in your mouth. The virus doesn't cause symptoms, and most of the time, your immune system clears the infection from your body within 2 years.
If you have either of these hpv types, make sure you receive diagnostic testing with a colposcopy.
If you have oropharyngeal cancer, cancer cells form in the middle of the throat, including the tongue, tonsils, and pharynx walls. But, it can sometimes be difficult to know whether you have it. It can also cause cancer in the back of the throat, including the base of the tongue and tonsils (called oropharyngeal cancer). I admit i believe everything i see from dr google, bad habits i know. That didn't exist when i was young, but i wish it had. Infections with hpv are common. Hpv causes head and neck cancers too. Cancers in the region of the head and neck that we call the oropharynx, which includes the tonsils and the base of the tongue so the part of the tongue that's behind what you can actually see in your mouth. Partners of someone with hpv related mouth/throat cancer do not have an increased rate of oral hpv infection. But in some cases, after many years,. If you have either of these hpv types, make sure you receive diagnostic testing with a colposcopy. Cancer usually develops several years after hpv exposure, and may be concurrently linked to alcohol and tobacco usage. Quitting smoking can help your body to fight hpv.
Harga mobil toyta yaris bekas: Mobil bekas suzuki ertiga ini memiliki mesin dengan kapasitas 1400 cc dan 4 silinder. 16.11.2021 · cara balik nama kendaraan jika stnk hilang. Sesuai aturan pada adrt hog anak elang jakarta chapter, maka pemimpin hog anak elang jakarta chapter harus menunjuk pengurus … 09.03.2021 · toyota yaris juga diperlengkapi dengan eco mode dan sport serta 7 airbags. Biaya Balik Nama Motor Mio Vixion Nmax Jupiter from pemerintahkota.com Piala juara wsbk 2021 mandalika buatan umkm bali. Sebelum beli, cari tahu dulu spesifikasi, konsumsi bbm, promo dan simulasi kredit bulan desember, review redaksi oto, dan bandingkan dengan rivalnya seperti brio, city hatchback dan lainnya! Bmw 325i m54 2003 minum kerang super. 16.11.2021 · cara balik nama kendaraan jika stnk hilang. Dalem kota 1:8,8 pake shell super. Saat itu uas yang be...
What Can Cause Liver Cancer In Cats - 7 Signs of Feline Lymphoma | PetCareRx - It can be mild to severe. . Heat stroke or overexposure to heat, either from hyperthermia cancer treatment or time spent outside. About 20 to 30 years ago, this virus led to cancer development in young cats (2 to 5 years old). Cancer is a possible cause of liver disease in cats and is usually severe. Liver cancer usually develops in the form of a malignant tumor that may have spread to the liver from other malignant parts of the body. As i mentioned, the virus felv can cause cancer in cats. There are several causes behind liver failure in cats, including: Cats also have an increased suceptibility because they lack some metabolic pathways in the liver that would be able to deal with some toxins. In most cases, cats diagnosed with primary liver cancer are older than ten years of age and a larger percentage of male cats develop this form of cancer in cats. Cancers, in general, are caused by a...
Make And Sell Greeting Cards / 30+ Products You Can Make Yourself & Sell From Home ... : How to start a greeting card business from home. . I like that you included the importance of record keeping and. Send thoughtful greetings matching every life occasion, event, or theme. Do you desire a rustic card? Classic greeting cards turn your photograph or artwork the market for greeting cards is vast and shows no signs of diminishing. How to make a card out of any art. Sell your own images, paintings or photographs as greeting cards and make an extra income. Choose from thousands of templates for every event: Have you been making cards for your own use, and are you now wondering if you should expand and sell your creations? I offer free shipping, and i ship all orders of less than five cards in an untracked envelope. Personalized greeting cards are sold for a number of occasions with holiday greeting cards taking the lead. ...
Komentar
Posting Komentar